A common question parents ask is, “when should my child see the orthodontist”? It often baffles parents when they see kids as young as 7 or 8 with braces on. Why so young?
The American Association of Orthodontists (AAO), which is part of the American Dental Association, has recommended that kids see the orthodontist by about age 7.
This is around the time when permanent teeth are coming in and it is important to evaluate if an early round of braces is necessary. Most orthodontic treatment at this age is for correcting significant “bite” issues, such as crossbites and openbites, but it can also be important to discuss thumb sucking and other important issues that will affect a child’s dental development.
If you are taking your child to see the pediatric dentist regularly for cleanings, they can help instruct and advise you if this is an appointment you should make and provide some of the reasons to do so.
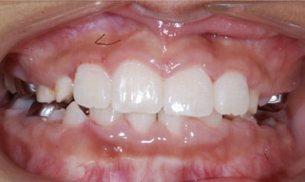
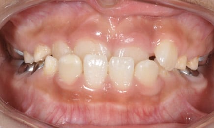
Some kids have need for 2-phase orthodontics. Although this is rare (only 10% of kids at Dental Town), it is a very important and significant round of treatment. Phase I and Phase II are typically broken down as such:
Phase 1: Kids (ages 7-10)
Beginning treatment in this phase allows us to watch the jaw as it develops to make sure it is growing in a way that will accommodate permanent teeth and improve the patient’s bite.
Phase I Treatment may or may not include braces. Your child will receive a thorough examination by the orthodontist and options will be discussed. There is never a charge for a consult with the orthodontist at Dental Town. It is all to inform and educate you on what the potential treatment options are.
At the end of Phase I, your child will receive a retainer to be worn at night time. This will last until all permanent teeth erupt, around age 12. At this time your child will be examined for Phase II treatment.
Phase I is a very important part of orthodontic treatment. Often times, if serious orthodontic problems are not caught early, it is impossible to fully achieve correction. While kids are still young, their jaws and teeth can be manipulated at a much different magnitude and speed than possible as a young adult.
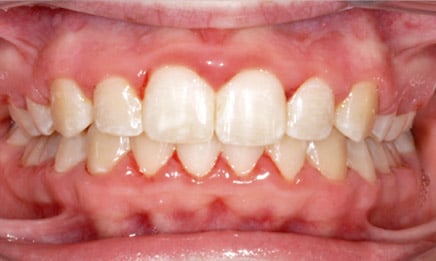
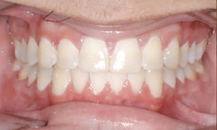
Phase 2 (ages 11-18)
The main benefits from this treatment include improving function and appearance of the teeth and smile, moving permanent teeth into their proper positions, aligning the jaw, and preventing future problems due to poor alignment.
As you can see, there are so many different reasons for braces. Getting treated as a youth is not only much easier for the patient (socially), but the outcome will be much better as we are able to start aligning things as the body is growing.
(770) 679-7637
5260 Avalon Blvd.
Bldg. 5000
Alpharetta, GA 30009
(770) 741-0439
2020 Cumming Hwy
Suite 100
Canton, GA 30115
(678) 352-1033
980 Birmingham Rd
Suite 507
Milton, GA 30004
(770) 622-1515
4330 Johns Creek Pkwy
Suite 100
Suwanee, GA 30024
Dental Town Specialists
(770) 622-1518
4330 Johns Creek Pkwy
Suite 500
Suwanee, GA 30024
Pediatrics: Suite 4250
Adult & Cosmetic: Suite 4106
Oral Surgery & Orthodontic: Suite 4108
(678) 224-5722
250 Parkbrooke Pl.
Woodstock, GA 30189
General Dentistry & Orthodontics:
Suite 350
